SERVICIOS GENERALES
Check Up Dental en Puebla
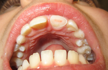
Prevención en Salud Bucal para Niños, Adultos y 3ra Edad
Parte esencial del cuidado preventivo de la salud bucal, ya que puede ayudar a detectar problemas dentales en fases tempranas, justo cuando son más fáciles de tratar. Nuestro equipo de especialistas podrá detectar cualquier problema dental y ofrecerle el tratamiento adecuado y a su medida.
El Check Up Dental incluye los siguientes servicios:
OTROS SERVICIOS GENERALES
es Mejorar su Salud
Nuestros especialistas le ayudarán a prevenir y detectar cualquier problema dental de su familia. Ofreciéndole un diagnostico personalizado y las opciones para un tratamiento adecuado.
Check Up Dental
Las revisiones dentales regulares son importantes para mantener su boca y sus dientes sanos.
Urgencias 24Hrs
Nuestro equipo puede atender cualquier tipo de urgencias dentales las 24 horas del día con equipo de alta gama.
Rayos X Digitales
Equipo especializado con mayor nitidez y contraste permitiendo apreciar mejor los detalles y densidades.
Prevención
Atención para niños, adultos y 3ra edad. Limpieza dental, aplicación de flúor, resinas dentales y ionómeros dentales.
Servicios Especializados
Clientes Satisfechos
Años de Experiencia
Sonrisas Sanas
Una sonrisa sana para toda tu familia a un clic de distancia
BIODENTAL CLÍNICA DENTAL
SIEMPRE EN CONTACTO
Contactanos ya
